血便/下血(おしりもしくは腸管内から血が出ているサイン)
血便/下血(おしりもしくは腸管内から血が出ているサイン)
「トイレで見た血の色にびっくりしてしまった」「便器の中が赤く染まっていた」——血便や下血の経験がある方の中には、そうした不安を抱えながらも、「でも痛みはないし、少し様子を見よう」と放置してしまう方が少なくありません。
特に女性の場合、「痔かな?」「生理の影響かも?」と自己判断して受診を後回しにしてしまうケースも多いようです。
しかし、血便や下血というのは、私たちの体から送られている“異常のサイン”です。体のどこか、たとえば胃や十二指腸、大腸などの消化管で出血が起こっている可能性があり、その原因によっては早期の治療が必要になる事もあります。胃内視鏡検査・大腸内視鏡検査による出血源の特定が重要です。
このコラムでは、血便・下血の原因とその見分け方、女性ならではの注意点、そして最も大切な「検査の必要性」について、わかりやすくご説明します。
こちらの医療コラムもご参照ください。
①トイレでびっくり!血便が出た?
まず、「血便」と「下血」の違いについてお話ししましょう。
便に血が混じっている状態は、「肉眼的血便」と「顕微鏡的血便(便潜血)」の2つに分けられます。
・肉眼的血便:便に赤い血がはっきりと混じっていたり、便の表面に付着していたりする状態です。
出血部位によって見た目が変わり、肛門に近い部分(痔など)からの出血では鮮やかな赤色、腸の奥や胃など上部消化管からの出血では、酸化して黒っぽい便(タール便)になることがあります。
・顕微鏡的血便(便潜血陽性):見た目では分かりませんが、便に微量の血液が混ざっており、便潜血検査で発見されるものです。健康診断などの大腸がん検診で指摘されることが多く、陽性の場合は出血の原因を特定するために大腸内視鏡検査(大腸カメラ)が必要です。
血の色や状態は、出血している場所や原因疾患を見極める重要な手がかりとなります。気になる症状がある場合は、自己判断せず早めの医療機関受診が大切です。
「下血」とは、おしりから血液が排泄されることです。
下血とは、胃や腸、肛門など消化管のどこかから出血していることを示すサインです。出血の部位や出血量によって、便の色には以下のような違いが見られます。
・鮮やかな赤色の血便:肛門に近い部分(痔や直腸など)からの出血が疑われます。
・赤黒い色(赤ワインのような色):結腸や小腸の奥など、やや肛門から離れた場所で出血している可能性があります。
・黒色の便(タール便):胃や十二指腸など、上部消化管からの出血でよく見られます。血液が胃酸や腸液と反応し、黒く変色するためです。
・ただし、大量に出血した場合は、胃や十二指腸など上部からでも赤っぽい便になることがあります。
このように、便の色の違いは出血場所の重要なヒントになります。血便や黒っぽい便が続く場合は、自己判断せず、消化器内科などで速やかに検査を受けることが大切です。
血便や下血がみられる場合、痔などの良性疾患が原因のこともありますが、
大腸ポリープや大腸がんなど、早めの検査が必要な病気が隠れていることもあります。
症状が一時的におさまっても、原因が解消されたとは限りません。
放置せず、早めに原因を確認することが大切です。
血便や下血の原因として、以下のような疾患が挙げられます。
もっともよく見られる原因のひとつで、排便時の出血が主です。便の表面に赤い血が付着する事が多く、痛みを伴う事もあります。

良性の事が多いですが、一部は将来的にがん化する可能性があります。出血していても自覚症状がない場合が多く、定期的な大腸カメラ検査(大腸内視鏡検査)が重要です。
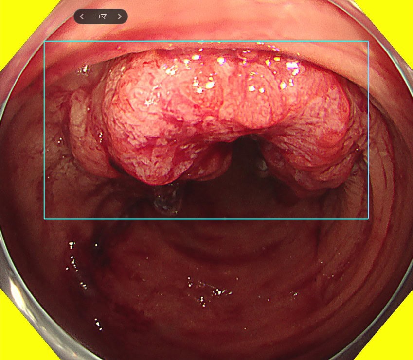
血便・下血の原因として見逃してはいけないのが大腸がんです。特に、便に混じった血や、慢性的な便秘・下痢の変化がある場合は要注意です。

大腸がんの内視鏡画像
上部消化管からの出血は黒いタール便として現れる事が多いです。吐き気や胃の痛みが伴う場合もあります。
急に腹痛とともに血便が出る場合、腸炎が原因となっている事もあります。高齢者やストレスの多い方に多くみられます。

虚血性腸炎の好発部位
医療コラム:虚血性腸炎とは?血便・腹痛の原因と治るまでの期間・食事・再発を専門医が解説 をご参照ください。
「女性は大腸がんのリスクが低いから心配いらない」と思っていませんか?これは大きな誤解です。たしかに、男性のほうがやや発症率が高い傾向にあるという統計もありますが、女性も40代を過ぎると大腸がんのリスクは確実に上がっていきます。
さらに、女性は便秘やストレス、ホルモンバランスの影響で腸内環境が乱れやすく、腸疾患に気づきにくいという背景もあります。「いつもの便秘かな」「痔だろう」と自己判断せず、しっかり調べる事が何より大切です。
また、生理による出血と混同してしまい、本当の出血源に気づかないケースもあります。「トイレで血を見たけど、時期的に生理だと思った」という方も、見過ごさないようにしましょう。生理中でも、肛門診察・大腸カメラ検査(大腸内視鏡検査を受けていただくことが可能です。
医療コラム 生理中でも大腸カメラや肛門診察は可能?
血便が目で確認できる場合だけでなく、
健康診断などで便潜血検査が「陽性」と判定されることで
初めて異常に気づくケースも少なくありません。

血便がある方、便潜血陽性と言われた方は、
いずれも消化管からの出血が疑われるため、精密検査(大腸カメラ)が必要です。
便潜血検査が陽性だったら、必ず精密検査(大腸内視鏡検査)を受けましょう
便潜血検査で陽性と判定された場合、その原因として最も多いのは「痔による出血」です。ですが、それだけではありません。
・約30〜40%の方に、前がん病変である大腸ポリープが見つかります。
・3〜4%の方に大腸がんが見つかることもあります。
特に大腸ポリープは、将来の大腸がんにつながるリスクがあります。しかし、ポリープの段階で発見して切除することで、大腸がんの予防が可能になります。
便潜血検査は、自覚症状がない早期段階でも異常の兆候を見つけるための重要な検査です。陽性と出た場合は、たとえ体調に問題がなくても、速やかに消化器内科を受診して大腸カメラ検査(大腸内視鏡検査)を受けることが大切です。早期発見・早期治療が、健康な未来を守るカギになります。
血便がある場合、「どこから出血しているのか(消化管のどの部位か)」を見極めることが、正確な診断と早期治療の第一歩です。
当院では、以下の流れで丁寧に診療を行っています。
診察の際は、血便の状態についてなるべく詳しく教えてください。
・血の色(鮮やかな赤、暗赤色、黒色など)
・出血の量
・便との混じり方(便の表面に付着している、混ざっている など)
スマートフォンで撮影した写真を見せていただくのも診断の助けになります。問診では、いつから症状が始まったか、頻度、腹痛や下痢などの随伴症状、服用中の薬や持病についてもお伺いします。
・血圧・脈拍の確認、血液検査で貧血や炎症の有無をチェック
・内視鏡検査(胃カメラ・大腸カメラ)で、出血部位や病変を直接観察
┗ 鎮静剤を使用するため、眠っているような状態で楽に受けられます
・必要に応じて病変の一部を採取し、**病理検査(生検)**で確定診断
・状況に応じて腹部エコーやCT、カプセル内視鏡検査なども併用
当院では、日本消化器病学会認定医専門医・日本大腸肛門病学会認定専門医・日本消化器内視鏡認定専門医による診療体制を整えており、血便の症状に対して幅広く対応可能です。
鎮静剤を使用した痛みの少ない大腸内視鏡検査(AIによる病変抽出システム導入)を行っています。火曜日は女性医師による内視鏡検査にも対応しています。
検査に不安がある方も、できるだけ負担の少ない方法をご提案いたします。
また、より高度な検査や入院による治療が必要な場合には、連携している医療機関をご紹介し、迅速に対応いたします。
TOP